У Чернівецькій обласній дитячій лікарні вперше провели комп’ютерну томографію (КТ) серця дитині
У Чернівецькій обласній дитячій лікарні вперше провели комп’ютерну томографію (КТ) серця дитині
Швидкі новини
У Чернівецькій обласній дитячій лікарні вперше провели комп’ютерну томографію (КТ) серця дитині
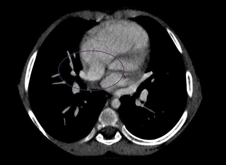
У Чернівецькій обласній дитячій лікарні вперше провели комп’ютерну томографію (КТ) серця 7-річній дитині, яка лікувалася від пневмонії. Після цього лікарі прийняли рішення про хірургічне втручання.
Про це пише С4 із посиланням на Чернівецьку облраду.



Дитина є внутрішньо переміщеною особою. Зі слів матері, ще до госпіталізації вона помітила тривожні симптоми, а саме швидку втомлюваність після фізичних навантажень та млявість. Це дало підстави запідозрити можливу ваду серця.
Для уточнення діагнозу до Чернівців прибули спеціалісти Інституту імені Миколи Амосова, які підтвердили підозру. Проте для остаточної верифікації діагнозу провели КТ серця з контрастуванням.
Обстеження виконали в обласній дитячій лікарні, після чого вирішили провести хірургічне лікування. Такі обстеження дітей у Чернівецькій області ще не проводили. Маленьких пацієнтів зазвичай скеровували до Києва.
Облрада зауважує: “КТ на місці є особливо важливим, адже не завжди стан дитини дозволяє безпечно її транспортувати”.
Слідкуйте за нами у Telegram
Читайте також:
просто заповніть всі поля нижче і ми зв’яжемось з вами